




Visit Hyderabad Smiles, the best dental clinic in Hyderabad, for expert dental care & a bright, healthy smile. Book an appointment today. Your smile is our priority, and we are committed to providing you with the best dental services in hyderabad. At Hyderabad Smiles, we combine expertise, advanced technology, and compassionate care to offer safe, effective, and long-lasting dental solutions.

Our specialists include well-qualified dentists, oral surgeons, periodontists, prosthodontists, as well as orthodontists. All our specialists strive to provide exceptional care as well as the finest state-of-the-art technology available in the field of dentistry. Through ongoing learning, every patient gets the most recent up-to-the-minute procedures that are effective as well as safe.
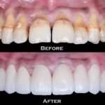
At Hyderabad Smiles Advanced Dental Hospital, we know that your smile is more than just a set of teeth. It’s about confidence, health, and personality. We are situated at the heart of Hyderabad, and our goal is to deliver world‑class dental care in a friendly and relaxed atmosphere. Each smile is distinctive, and our mission is to maximize your natural beauty while having your oral health in top condition. From a quick checkup to cosmetic dentistry or complicated restorative care, our skilled professionals are here to lead you along the way.
At Hyderabad Smiles, every smile tells a story. We combine advanced dentistry, modern technology, and compassionate care to deliver the best treatment for our patients. Whether local or international, we make every experience comfortable, precise, and personalized.
MOST AWARDED
DENTAL CLINICS IN 2017-2023(50+ AWARDS)




A small river named Duden flows by their place and supplies it with the necessary regelialia. It is a paradise
A small river named Duden flows by their place and supplies it with the necessary
A small river named Duden flows by their place and supplies it with the necessary
A small river named Duden flows by their place and supplies it with the necessary
Hyderabad Smiles believes the smile can transform the world. It's about excellence, patient care, and state-of-the-art dentistry. That makes Hyderabad Smiles an apt choice for domestic as well as international patients.
At Hyderabad Smiles Advanced Dental Hospital, we know that your smile is more than just a set of teeth.
A small river named Duden flows by their place and supplies it with the necessary regelialia. It is a paradise
Behind the word mountains from the countries Vokalia and Consonantia, there live the blind. texts. Separated they.

Each smile is distinctive, and our mission is to maximize your natural beauty while having your oral health in top condition.





This section answers common questions about dental general dental questions, including the procedure, benefits, healing time, and maintenance tips. Patients can learn how our treatments restore function effectively.

For most individuals, a routine dental checkup and scaling every six months is recommended to maintain optimal oral health. However, based on your individual oral condition and specific needs, our best dentist in Hyderabad may recommend more frequent visits to ensure proactive and personalized dental care in Hyderabad.
Our general dentists at Hyderabad Smile dental surgeon in hyderabad are highly skilled in treating a wide range of common dental problems. These include, but are not limited to:
Cavities (dental caries)
Calculus (hardened plaque) and stains
Gum disease (gingivitis and periodontitis)
Tooth sensitivity
Bad breath (halitosis)
Fractured or chipped teeth
Maintaining excellent oral hygiene at home is crucial for long-term dental health. We recommend:
Brushing your teeth twice a day with fluoride toothpaste.
Using dental floss daily to clean between your teeth.
Limiting sugary foods and drinks.
Rinsing your mouth with water after every meal.
Considering the use of an antimicrobial mouthwash as advised by your dentist.
And, of course, visiting our dental clinic in Hyderabad at least every six months for professional care to maintain smile makeover in hyderabad.
To protect your smile, we advise limiting or avoiding:
Sweet foods and sugary drinks, as they contribute to cavity formation.
Acidic foods and beverages, which can erode tooth enamel.
Sticky candies that cling to your teeth.
Excessively hard foods that can chip or fracture teeth.
Our experienced orthodontist in Hyderabad offers a variety of orthodontic solutions to suit different needs and preferences, including:
During your consultation, our orthodontist will conduct a thorough examination and discuss the best treatment option tailored to your specific case, lifestyle, and aesthetic goals.
Choosing Hyderabad Smile Dental Clinic means choosing excellence in dental care in Hyderabad. We pride ourselves on:
Experienced Dentists: Our team comprises highly qualified and experienced general dentists and specialists, including a dedicated pediatric dentist in Hyderabad and a skilled orthodontist in Hyderabad.
State-of-the-Art Technology: We utilize the latest dental technology and modern techniques to ensure precise diagnoses, effective treatments, and comfortable patient experiences.
Comprehensive Services: From routine checkups and cleanings to advanced procedures like dental implants, cosmetic dentistry, and orthodontics, we offer a full spectrum of dental care.
Patient-Centric Approach: Your comfort and well-being are our top priorities. We provide personalized treatment plans in a friendly and welcoming environment.
Convenient Location: As a leading dental clinic in Hyderabad, we are easily accessible for anyone searching for the best dental care near me.
An epitome of Excellence, Dedication and Quality dental care, a practice that takes pride in Creating miles of Smiles since 1993
FMS is one of the top dental clinics in Hyderabad, India and 2nd best center in the world (GCR Rating), with multi-specialty practice, in-patient facility and 24 hr. emergency dental services. Being pioneers in the concept of multi-specialty practice, FMS has 10 Specialities of dentistry under one roof supported by state-of-the-art equipments and a world class CAD-CAM supported dental laboratory.
FMS, rechristened as Face Make Over & Smile Clinics, is one of the best dental clinic for dental implant in Hyderabad India, which has made a world of difference to the smiles of innumerable Indians and foreigners. FMS is the most sought after clinic in dental implant and Cosmetic Dentistry practice in Hyderabad, India.
We offer an exciting Tourism opportunity, which combines your procedures with great holidays around Hyderabad and exotic India. So enjoy the splendour of this incredible part of the world, while also being on your way to healthier teeth and beautiful smiles, at one of the best dental clinic in Hyderabad India.
13 LOCATIONS IN HYDERABAD, SECUNDERABAD AND KOCHI
FMS started in 1993, had established 10 multispeciality dental clinics, 2 International Centers for foreign patients & expats and a Dental Hospital with Operation Theater & ICU & 24/7 in-patient services.
FMS is in the path of expansion within the state and all over the country. FMS INTERNATIONAL DENTAL CENTERS at Road No: 37 JUBILEE HILLS Hyderabad & Kochi, Kerala, is one of the premium practices in the country today. Being pioneers in the field of dentistry, the management of FMS DENTAL has channelized their passion into other verticals of dentistry viz, DENTAL COLLEGE (SSCDS), GUIDE ACADEMY (Global Update In Dental Education), DENTAL LABORATORY etc.
FMS Dental is one of the top-rated dental clinics in Hyderabad, India, renowned for Dental Implants, Cosmetic Dental Treatments, Braces, Clear Aligners, Root Canal Treatments, Dental Crowns and General Dentistry etc. Located in 12 most prominent regions in Hyderabad including Jubilee Hills, Kondapur, KPHB, Secunderabad etc., FMS Dental comprises of highly qualified dental specialists led by Dr. Shailaja Reddy and Dr. PP Reddy for over 30 years, known for their expertise in advanced dental procedures including dental implants and cosmetic dentistry.
FMS Dental suggests its patients to consider the following factors while choosing the best dental clinic for their dental care needs including, expertise and experience of the dentists, technological advancements including digital radiographs, 3 D CBCT scan, CAD-CAM dental restorations, digital shade matching, LASER technology, microscopic endodontics, surgical guides for the dental implant procedures and advanced software for cosmetic dentistry etc. and OHSA standards of hygiene and safety.







FMS International Center being the best dental clinic for Dental Implant and Cosmetic Dentistry in Hyderabad, India, exudes great sophistication and ambiance, maintaining OSHA standards of sterilization. This facility is focuses on international patients and tourism, maintaining global standards in oral care. This center is rated as the best in India and 2nd in the world, by Global Clinic Rating (GCR).
150+ CONSULTANTS from all the Specialties of Dentistry
A small river named Duden flows by their place and supplies it with the necessary regelialia. It is a paradisematic country, in which
A small river named Duden flows by their place and supplies it with the necessary regelialia. It is a paradisematic country, in which
A small river named Duden flows by their place and supplies it with the necessary regelialia. It is a paradisematic country, in which
At Hyderabad Smiles Advanced Dental Hospital, we know that your smile is more than just a set of teeth. It's about confidence, health, and personality. We are situated at the heart of Hyderabad, and our goal is to deliver world‑class dental care in a friendly and relaxed atmosphere.
House No. 15/2RT, Near Durga Temple, beside Dr Agarwal Eye Hospital, Punjagutta, Hyderabad, Telangana 500082, India
Ayyappa Society Main Rd, opp. Vijyalaxmi Supermarket Sri Sai Nagar, Madhapur, Hyderabad, Telangana 500081, India
FLAT NO 273, 1-65/2/272, near D MART, Kavuri Hills, Madhapur, Hyderabad, Telangana 500081, India